Teeth Whitening
Your smile is one of your most personal and expressive features. It can instantly convey your personality and friendliness to those around you.
A simple, safe, and effective whitening treatment can rejuvenate your smile and boost your confidence both personally and professionally. Teeth whitening has become very popular in recent years and can be achieved through either take-home or in-chair systems. At DentalOne, we offer both options to suit your needs.

Take Home Teeth Whitening
We provide a convenient take-home teeth whitening solution by ZOOM. During your appointment, we will take impressions of your teeth to create custom-fit trays. You can then use the whitening solution, available for either daytime or nighttime use, to gradually whiten your teeth at your own pace. Individual results vary, and maintenance is typically needed on an annual basis to maintain optimal results.

In-Chair Teeth Whitening
For faster results, our in-chair teeth whitening treatment is a great option. Performed by our experienced dental professionals, this procedure involves applying a powerful whitening gel to your teeth and activating it with a special light. In just one visit, you can achieve a significantly brighter smile
Important Considerations Before undergoing any whitening treatment, it is essential to assess your oral hygiene and dental health to ensure you are a suitable candidate and to achieve the best results. You must have had a check-up and professional dental cleaning within the last 12 months. If not, you will need to have one prior to starting any whitening treatment.
Make An Enquiry With Us Today!!!!
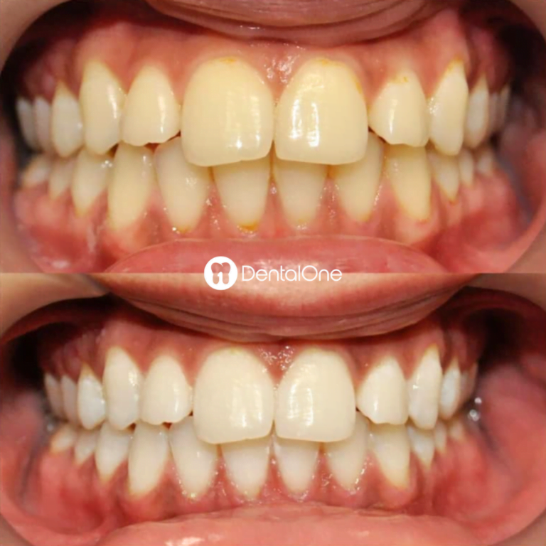
See Our Results
Take Home Whitening – From $149
Ready to enhance your smile? Contact DentalOne today to schedule your teeth whitening consultation and discover which option is best for you.



